Bienvenue dans votre cabinet
Dr. GRAOUI Fatima Ezzahra
Dr. Fatima Ezzahra GRAOUI, lauréate de la Faculté de Médecine dentaire de Rabat, apporte une vaste expérience à la dentisterie. Ancienne médecin a la mutuelle de la Sûreté Nationale, elle est déterminée à offrir des soins dentaires de qualité, soutenant ainsi le bien-être de la communauté.

Notre Service Principal
Notre service principal au cabinet dentaire est de garantir la santé bucco-dentaire optimale de nos patients.
Nos Infrastructures
Notre cabinet dentaire dédie son expertise à votre sourire, offrant des soins dentaires de qualité exceptionnelle.
Prendre Rendez-Vous
Prendre rendez-vous au cabinet dentaire est simple, offrant un accès facile à des soins dentaires exceptionnels.
Prenez Rendez-Vous
05 35 60 90 77

Technologie de pointé pour soins dentaires.
Notre cabinet dentaire est dévoué à offrir des soins dentaires de la plus haute qualité. Nous investissons dans la technologie de pointe pour garantir des diagnostics précis et des traitements efficaces. Grâce à notre engagement envers l’innovation, nous assurons des soins dentaires exceptionnels pour votre santé bucco-dentaire.
“ La vraie philosophie consiste à prendre soin de chaque détail de la vie, même les plus petits, comme nos dents, car ce sont les éléments qui composent la mosaïque de notre bien-être. ” – Socrate (adapté)

Dr. GRAOUI Fatima Ezzahra,
Chirurgienne Dentiste
4.7
of 5
4.5/5
Notre Expertise
Dr. Fatima Ezzahra GRAOUI, Lauréate de la Faculté de Médecine dentaire de Rabat et ancienne médecin à la mutuelle de la Sûreté Nationale, apporte son expertise exceptionnelle à la dentisterie, avec un engagement inébranlable envers la santé bucco-dentaire de la communauté.

Prothèse Fixée & Amovible
Prothèses fixes et amovibles, solutions personnalisées pour des sourires parfaits.

Prodontologie
La prothodontie avancée pour restaurer la beauté et la fonction dentaire.

Dentisterie Esthétique
Notre expertise en dentisterie esthétique crée des sourires éclatants et confiants.
Pourquoi les gens nous font confiance
Les gens nous font confiance en raison de notre engagement envers des soins dentaires de qualité, d’une équipe expérimentée et de notre dévouement à leur bien-être bucco-dentaire.
Laboratoire haute qualité
Laboratoire délivrant une qualité exceptionnelle
Expertise Inégalée
Expertise dentaire inégalée, pour des sourires sains et éclatants
Résultat Précis
Des résultats dentaires précis pour votre santé bucco-dentaire optimale
Personnel Qualifié
Personnel qualifié, dédié à votre santé dentaire et votre bien-être
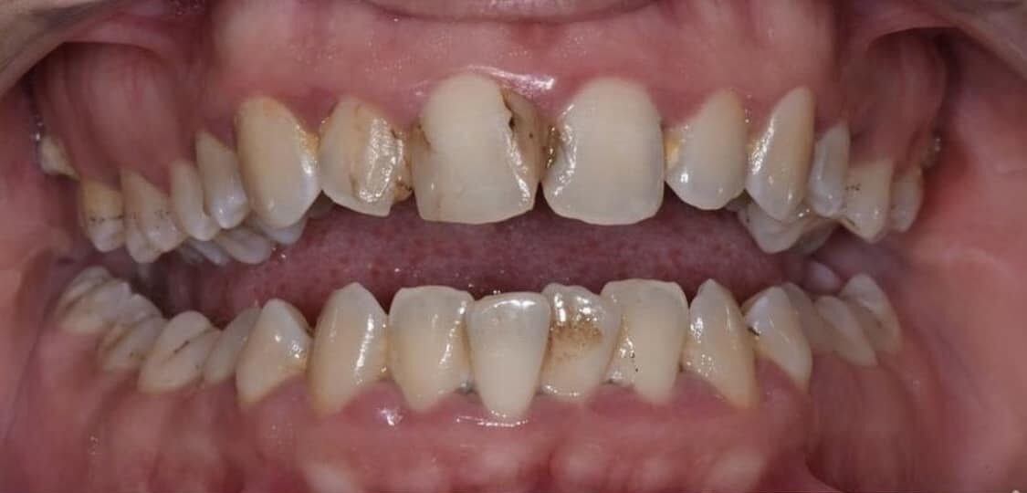
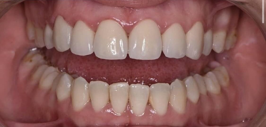
Dernières études de cas
Nos dernières études de cas au cabinet dentaire illustrent notre engagement envers des traitements dentaires exceptionnels, améliorant la qualité de vie de nos patients. Découvrez nos réussites récentes
Laissez ces Résultats Parler d'eux-mêmes
Transformez votre sourire avec notre expertise dentaire. Découvrez la magie des résultats avant et après chaque visite chez le dentiste.


Ce que disent nos clients
L’impact positif que nous avons sur nos clients est le sujet de nombreux témoignages élogieux.

Fadwa EL FAKIRI
“Je suis une patiente de docteur Fatima Ezzahra et je suis extrêmement satisfaite de la qualité de ses services. Elle est d’une grande compétence et d’une grande gentillesse.”
5/5
5/5
“Le Dr. GRAOUI et son équipe au cabinet dentaire ont transformé ma perception des soins dentaires. Leur expertise et leur compassion sont inégalées. Je recommande vivement leurs services.”

Anass Benani
Lawyer
5/5
“Je recommande vivement! un accueil chaleureux, une dentiste très professionnelle et à l'écoute de ses patients, ponctuelle, sérieuse et les enfants l'adorent...Je suis vraiment très satisfaite”

Fadwa EL FAKIRI
Mechanic
5/5
“Le cabinet dentaire du dr. GRAOUI offre des soins dentaires d'une qualité exceptionnelle. Mon expérience a été positive à chaque visite, et je suis reconnaissant pour leur expertise.”

Maha Er-rchidi
Dancer
Conseils Santé
Découvrez nos articles informatifs sur les soins dentaires, les dernières avancées et les conseils pour un sourire en bonne santé. Restez informé avec notre cabinet dentaire.

Odeur de Bouche : Causes, Solutions et Conseils pour une Haleine Fraîche
L’odeur de bouche, également connue sous le nom d’haliotis, peut être une source d’inconfort …

L'importance de Visiter Régulièrement le Dentiste : Pour un Sourire Sain et Radieux
Visiter régulièrement le dentiste est un pilier essentiel d’une bonne santé bucco-dentaire….

Orthodontie : Aligner les Sourires, Transformer les Vies
L’orthodontie, une branche de la dentisterie dédiée à la correction des problèmes de positionnement des dents….
Ayez une longueur d’avance sur la maladie
Chez notre cabinet dentaire, nous vous aidons à prendre de l’avance sur la maladie bucco-dentaire en offrant des soins préventifs et des traitements innovants pour maintenir votre santé dentaire optimale.
Abonnez-vous à notre newsletter
Restez en contact avec nous pour recevoir les dernières nouvelles et offres spéciales.
Address
1er étage N˚21 Lotissement Asmae Rte Aïn Chkef - Fés
Appelez-Nous
+212 535 609 077
Envoyez-Nous Email
drgraouifatimaezzahra@gmail.com